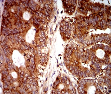
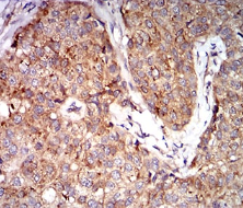
EIF5 Mouse Monoclonal antibody[6D6H]

AccuSift
EIF-5; EIF-5A
SKU Name Unit Price Delivery QTY
AC2139 EIF5 Mouse Monoclonal antibody[6D6H] 100ug $367 10days
AC2139 EIF5 Mouse Monoclonal antibody[6D6H] 200ug $660.6 10days

Eukaryotic translation initiation factor-5 (EIF5) interacts with the 40S initiation complex to promote hydrolysis of bound GTP with concomitant joining of the 60S ribosomal subunit to the 40S initiation complex. The resulting functional 80S ribosomal initiation complex is then active in peptidyl transfer and chain elongations (summary by Si et al., 1996 [PubMed 8663286]).

    

Aliases:    EIF-5; EIF-5A    

Entrez GeneID :   1983    

Swissprot :   P55010    

WB Predicted band size:    49.2kDa    

Host/Isotype:    Mouse IgG2a    

Species Reactivity:    Human    

Immunogen:    Purified recombinant fragment of human EIF5 (AA: 1-300) expressed in E. Coli.    

Operation

IHC    1/200 - 1/1000    

IF/ICC    1/50 - 1/250    

FCM    1/200 - 1/400    

ELISA    1/10000    

References