EIF4B Mouse Monoclonal antibody[1F5D7]

AccuSift
EIF-4B; PRO1843
SKU Name Unit Price Delivery QTY
AC2136 EIF4B Mouse Monoclonal antibody[1F5D7] 100ug $367 10days
AC2136 EIF4B Mouse Monoclonal antibody[1F5D7] 200ug $660.6 10days

The eukaryotic translation initiation factor 4B (eIF4B) plays a critical role in recruiting the 40S ribosomal subunit to the mRNA.It functions in close association with eIF4F and eIF4A. It binds near the 5'-terminal cap of mRNA in the presence of eIF4F and ATP. It promotes the ATPase activity and the ATP-dependent RNA unwinding activity of both eIF4A and eIF4F


Aliases :   EIF-4B; PRO1843    

Entrez GeneID :   1975    

Swissprot :   P23588     

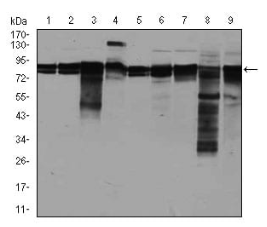
WB Predicted band size:    80kDa    

Host/Isotype:    Mouse IgG2b    

Species Reactivity:    Human,Mouse    

Immunogen:    Purified recombinant fragment of human EIF4B expressed in E. Coli.    

Operation

WB    1/500 - 1/2000    

IHC    1/200 - 1/1000    

IF/ICC    1/200 - 1/1000    

FCM    1/200 - 1/400    

ELISA    1/10000    

References