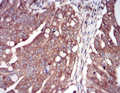
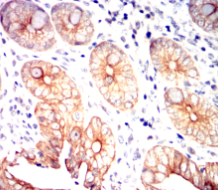
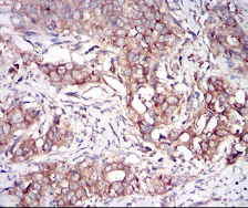
EIF2AK2 Mouse Monoclonal antibody[6A1U0]

AccuSift
PKR; PRKR; EIF2AK1
SKU Name Unit Price Delivery QTY
AC2134 EIF2AK2 Mouse Monoclonal antibody[6A1U0] 100ug $367 10days
AC2134 EIF2AK2 Mouse Monoclonal antibody[6A1U0] 200ug $660.6 10days

The protein encoded by this gene is a serine/threonine protein kinase that is activated by autophosphorylation after binding to dsRNA. The activated form of the encoded protein can phosphorylate translation initiation factor EIF2S1, which in turn inhibits protein synthesis. This protein is also activated by manganese ions and heparin. Three transcript variants encoding two different isoforms have been found for this gene.



Aliases :   PKR; PRKR; EIF2AK1    

Entrez GeneID :   5610    

Swissprot :   P19525    

WB Predicted band size:   62kDa    

Host/Isotype:    Mouse IgG1    

Species Reactivity :   Human,Mouse,Rat,Rabbit    

Immunogen :   Purified recombinant fragment of human EIF2AK2 (AA: 329-551) expressed in E. Coli.    

Operation

WB    1/500 - 1/2000    

IHC    1/100 - 1/500    

FCM    1/200 - 1/400    

ELISA    1/10000    

References