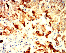
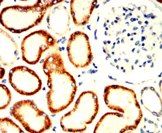
EI2BG Mouse Monoclonal antibody[1B9C12]

AccuSift
EIF2B3;EIF-2B; EIF2Bgamma
SKU Name Unit Price Delivery QTY
AC2130 EI2BG Mouse Monoclonal antibody[1B9C12] 100ug $367 10days
AC2130 EI2BG Mouse Monoclonal antibody[1B9C12] 200ug $660.6 10days

The protein encoded by this gene is one of the subunits of initiation factor eIF2B, which catalyzes the exchange of eukaryotic initiation factor 2-bound GDP for GTP. It has also been found to function as a cofactor of hepatitis C virus internal ribosome entry site-mediated translation. Mutations in this gene have been associated with leukodystrophy with vanishing white matter. Alternatively spliced transcript variants encoding different isoforms have been found for this gene.



Aliases:    EIF2B3;EIF-2B; EIF2Bgamma    

Entrez GeneID :   8891    

Swissprot :   Q9NR50     

WB Predicted band size:    50.2kDa    

Host/Isotype:    Mouse IgG1    

Species Reactivity :   Human    

Immunogen :   Purified recombinant fragment of human EI2BG expressed in E. Coli.    

Operation

WB    1/500 - 1/2000    

IHC    1/200 - 1/1000    

IF/ICC    1/50 - 1/200    

FCM    1/200 - 1/400    

References