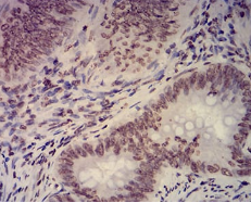
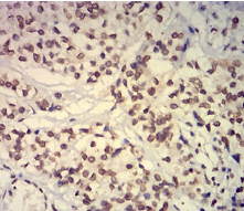
EHMT2 Mouse Monoclonal antibody[2D11]

AccuSift
G9A; BAT8; GAT8; NG36; KMT1C; C6orf30
SKU Name Unit Price Delivery QTY
AC2128 EHMT2 Mouse Monoclonal antibody[2D11] 100ug $367 10days
AC2128 EHMT2 Mouse Monoclonal antibody[2D11] 200ug $660.6 10days

This gene encodes a methyltransferase that methylates lysine residues of histone H3. Methylation of H3 at lysine 9 by this protein results in recruitment of additional epigenetic regulators and repression of transcription. This gene was initially thought to be two different genes, NG36 and G9a, adjacent to each other in the HLA locus. Alternative splicing results in multiple transcript variants.



Aliases:    G9A; BAT8; GAT8; NG36; KMT1C; C6orf30    

Entrez GeneID:    10919    

Swissprot :   Q96KQ7     

WB Predicted band size :   132.4kDa    

Host/Isotype:    Mouse IgG1    

Species Reactivity:    Human    

Immunogen:    Purified recombinant fragment of human EHMT2 (AA: 317-471) expressed in E. Coli.    

Operation

IHC    1/200 - 1/1000    

IF/ICC    1/200 - 1/1000    

FCM    1/200 - 1/400    

ELISA    1/10000    

References