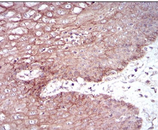
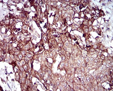
DSG3 Mouse Monoclonal antibody[6G2C1]

AccuSift
PVA; CDHF6
SKU Name Unit Price Delivery QTY
AC2106 DSG3 Mouse Monoclonal antibody[6G2C1] 100ug $367 10days
AC2106 DSG3 Mouse Monoclonal antibody[6G2C1] 200ug $660.6 10days

Desmosomes are cell-cell junctions between epithelial, myocardial, and certain other cell types. Desmoglein 3 is a calcium-binding transmembrane glycoprotein component of desmosomes in vertebrate epithelial cells. Currently, three desmoglein subfamily members have been identified and all are members of the cadherin cell adhesion molecule superfamily. These desmoglein gene family members are located in a cluster on chromosome 18. This protein has been identified as the autoantigen of the autoimmune skin blistering disease pemphigus vulgaris.



Aliases:    PVA; CDHF6    

Entrez GeneID:    1830    

Swissprot:    P32926    

WB Predicted band size:    107.5kDa    

Host/Isotype :   Mouse IgG1    

Species Reactivity:    Human,Mouse    

Immunogen :   Purified recombinant fragment of human DSG3 (AA: 55-159) expressed in E. Coli.    

Operation

WB    1/500 - 1/2000    

IHC    1/200 - 1/1000    

FCM    1/200 - 1/400    

ELISA    1/10000    

References