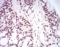
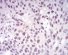
DNMT1 Mouse Monoclonal antibody[2D0G]

AccuSift
AIM; DNMT; MCMT; CXXC9; HSN1E; ADCADN
SKU Name Unit Price Delivery QTY
AC2096 DNMT1 Mouse Monoclonal antibody[2D0G] 100ug $367 10days
AC2096 DNMT1 Mouse Monoclonal antibody[2D0G] 200ug $660.6 10days

DNA (cytosine-5-)-methyltransferase 1 has a role in the establishment and regulation of tissue-specific patterns of methylated cytosine residues. Aberrant methylation patterns are associated with certain human tumors and developmental abnormalities. Two transcript variants encoding different isoforms have been found for this gene.

  


Aliases:    AIM; DNMT; MCMT; CXXC9; HSN1E; ADCADN    

Entrez GeneID:    1786    

Swissprot:   P26358     

WB Predicted band size :   183.2kDa    

Host/Isotype:    Mouse IgG1    

Species Reactivity:    Human    

Immunogen:    Purified recombinant fragment of human DNMT1 (AA: 1317-1616) expressed in E. Coli.    

Operation

IHC    1/200 - 1/1000    

ELISA    1/10000    

References