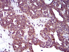
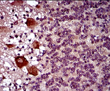
DNM1L Mouse Monoclonal antibody[4E11B]

AccuSift
DLP1; DRP1; DVLP; EMPF; VPS1; DYMPLE; HDYNIV; DYNIV-11
SKU Name Unit Price Delivery QTY
AC2094 DNM1L Mouse Monoclonal antibody[4E11B] 100ug $367 10days
AC2094 DNM1L Mouse Monoclonal antibody[4E11B] 200ug $660.6 10days

The protein encoded by this gene is a member of the dynamin superfamily of GTPases. Members of the dynamin-related subfamily, including the S. cerevisiae proteins Dnm1 and Vps1, contain the N-terminal tripartite GTPase domain but do not have the pleckstrin homology or proline-rich domains. This protein establishes mitochondrial morphology through a role in distributing mitochondrial tubules throughout the cytoplasm. The gene has 3 alternatively spliced transcripts encoding different isoforms. These transcripts are alternatively polyadenylated.



Aliases:    DLP1; DRP1; DVLP; EMPF; VPS1; DYMPLE; HDYNIV; DYNIV-11    

Entrez GeneID:    10059    

Swissprot:    O00429    

WB Predicted band size:    81.9kDa    

Host/Isotype:    Mouse IgG1    

Species Reactivity:    Human    

Immunogen:    Purified recombinant fragment of human DNM1L (AA: 69-213) expressed in E. Coli.    

Operation

WB    1/500 - 1/2000    

IHC    1/200 - 1/1000    

ELISA    1/10000    

References