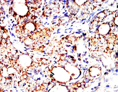
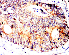
DLL3 Mouse Monoclonal antibody[6H4C4]

AccuSift
SCDO1
SKU Name Unit Price Delivery QTY
AC2086 DLL3 Mouse Monoclonal antibody[6H4C4] 100ug $367 10days
AC2086 DLL3 Mouse Monoclonal antibody[6H4C4] 200ug $660.6 10days

This gene encodes a member of the delta protein ligand family. This family functions as Notch ligands that are characterized by a DSL domain, EGF repeats, and a transmembrane domain. Mutations in this gene cause autosomal recessive spondylocostal dysostosis 1. Two transcript variants encoding distinct isoforms have been identified for this gene.



Aliases:    SCDO1    

Entrez GeneID:    10683    

Swissprot:    Q9NYJ7    

WB Predicted band size :   65KDa    

Host/Isotype :   Mouse IgG2a    

Species Reactivity :   Human, Rat    

Immunogen :   Purified recombinant fragment of human DLL3 (AA: EXTRA(27-226)) expressed in E. Coli.    

Operation

WB    1/500 - 1/2000    

IHC    1/200 - 1/1000    

IF/ICC    1/200 - 1/1000    

FCM    1/200 - 1/400    

ELISA    1/10000    

References