DLG4 Mouse Monoclonal antibody[3H3D4]

AccuSift
MRD62; PSD95; SAP90; SAP-90
SKU Name Unit Price Delivery QTY
AC2083 DLG4 Mouse Monoclonal antibody[3H3D4] 100ug $367 10days
AC2083 DLG4 Mouse Monoclonal antibody[3H3D4] 200ug $660.6 10days

This gene encodes a member of the membrane-associated guanylate kinase (MAGUK) family. It heteromultimerizes with another MAGUK protein, DLG2, and is recruited into NMDA receptor and potassium channel clusters. These two MAGUK proteins may interact at postsynaptic sites to form a multimeric scaffold for the clustering of receptors, ion channels, and associated signaling proteins. Multiple transcript variants encoding different isoforms have been found for this gene.



Aliases :   MRD62; PSD95; SAP90; SAP-90    

Entrez GeneID:    1742    

Swissprot:    P78352    

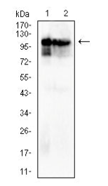
WB Predicted band size:    80.4kDa    

Host/Isotype :   Mouse IgG1    

Species Reactivity:    Human, Mouse, Rat    

Immunogen:    Purified recombinant fragment of human DLG4 (AA: 54-300) expressed in HEK293-6e cells supernatant.    

Operation

WB    1/500 - 1/2000    

FCM    1/200 - 1/400    

ELISA    1/10000    

References