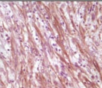
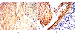
Desmin Mouse Monoclonal antibody[10H7D]

AccuSift
CSM1; CSM2; CMD1I; FLJ12025; FLJ39719; FLJ41013; FLJ41793; DES
SKU Name Unit Price Delivery QTY
AC2072 Desmin Mouse Monoclonal antibody[10H7D] 100ug $367 10days
AC2072 Desmin Mouse Monoclonal antibody[10H7D] 200ug $660.6 10days

Desmin (DES), with 470-amino acid protein (about 52kDa), belongs to the intermediate filament family and Desmin is class III intermediate filaments found in muscle cells. Homopolymers of Desmin form a stable intracytoplasmic filamentous network connecting myofibrils to each other and to the plasma membrane.Mutations in Desmin are associated with desmin-related myopathy, a familial cardiac and skeletal myopathy (CSM), and with distal myopathies.Desmin is also expressed in smooth muscle cells of both airways and alveolar ducts and Desmin is a load-bearing protein that stiffens the airways and consequently the lung and modulates airway contractile response.



Aliases:    Desmin    

Entrez GeneID:    1674    

Swissprot:    P17661     

WB Predicted band size:    54kDa    

Host/Isotype :   Mouse IgG1    

Species Reactivity:    Human,Mouse,Rat,Rabbit,Monkey    

Immunogen:    Purified recombinant fragment of Desmin expressed in E. Coli.    

Operation

WB    1/500 - 1/2000    

IHC    1/200 - 1/1000    

FCM    1/200 - 1/400    

ELISA    1/10000    

References