DDX4 Mouse Monoclonal antibody[2F9H5]

AccuSift
VASA;MGC111074;DDX4
SKU Name Unit Price Delivery QTY
AC2069 DDX4 Mouse Monoclonal antibody[2F9H5] 100ug $367 10days
AC2069 DDX4 Mouse Monoclonal antibody[2F9H5] 200ug $660.6 10days

DEAD box proteins, characterized by the conserved motif Asp-Glu-Ala-Asp (DEAD), are putative RNA helicases. They are implicated in a number of cellular processes involving alteration of RNA secondary structure such as translation initiation, nuclear and mitochondrial splicing, and ribosome and spliceosome assembly. Based on their distribution patterns, some members of this family are believed to be involved in embryogenesis, spermatogenesis, and cellular growth and division.



Aliases:    VASA;MGC111074;DDX4    

Entrez GeneID:    54514    

Swissprot:    Q9NQI0    

WB Predicted band size:    76kDa    

Host/Isotype:    Mouse IgG1    

Species Reactivity:    Human    

Immunogen:    Purified recombinant fragment of human DDX4 expressed in E. Coli.    

Operation

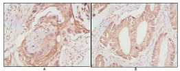
IHC    1/200 - 1/1000    

IF/ICC    1/200 - 1/1000    

FCM    1/200 - 1/400    

ELISA    1/10000    

References