DDX1 Mouse Monoclonal antibody[3E5E2]

AccuSift
DBP-RB; UKVH5d
SKU Name Unit Price Delivery QTY
AC2062 DDX1 Mouse Monoclonal antibody[3E5E2] 100ug $367 10days
AC2062 DDX1 Mouse Monoclonal antibody[3E5E2] 200ug $660.6 10days

DEAD box proteins, characterized by the conserved motif Asp-Glu-Ala-Asp (DEAD), are putative RNA helicases. They are implicated in a number of cellular processes involving alteration of RNA secondary structure such as translation initiation, nuclear and mitochondrial splicing, and ribosome and spliceosome assembly. Based on their distribution patterns, some members of this family are believed to be involved in embryogenesis, spermatogenesis, and cellular growth and division. This gene encodes a DEAD box protein of unknown function. It shows high transcription levels in 2 retinoblastoma cell lines and in tissues of neuroectodermal origin.



Aliases:    DBP-RB; UKVH5d    

Entrez GeneID:    1653    

Swissprot:    Q92499    

WB Predicted band size:    82.4kDa    

Host/Isotype:    Mouse IgG1    

Species Reactivity :   Human,Mouse    

Immunogen:    Purified recombinant fragment of human DDX1 (AA: 642-740) expressed in E. Coli.    

Operation

WB    1/500 - 1/2000    

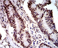
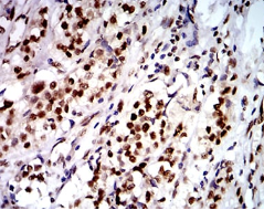
IHC    1/200 - 1/1000    

IF/ICC    1/200 - 1/1000    

FCM    1/200 - 1/400    

ELISA    1/10000    

References