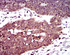
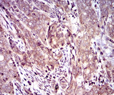
DCTN4 Mouse Monoclonal antibody[3G9]

AccuSift
P62; DYN4
SKU Name Unit Price Delivery QTY
AC2056 DCTN4 Mouse Monoclonal antibody[3G9] 100ug $367 10days
AC2056 DCTN4 Mouse Monoclonal antibody[3G9] 200ug $660.6 10days

Dynactin 4 could have a dual role in dynein targeting and in ACTR1A/Arp1 subunit of dynactin pointed-end capping. Could be involved in ACTR1A pointed-end binding and in additional roles in linking dynein and dynactin to the cortical cytoskeleton.The dynactin complex binds cargo, such as vesicles and organelles, to cytoplasmic dynein for retrograde microtubule-mediated trafficking and could feasibly be involved in the copper-regulated trafficking of ATP7B.



Aliases:    P62; DYN4    

Entrez GeneID :   51164    

Swissprot:    Q9UJW0    

WB Predicted band size :   52.3kDa    

Host/Isotype :   Mouse IgG1    

Species Reactivity:    Human,Mouse    

Immunogen:    Purified recombinant fragment of human DCTN4 (AA: 57-298) expressed in E. Coli.    

Operation

WB    1/500 - 1/2000    

IHC    1/200 - 1/1000    

IF/ICC    1/200 - 1/1000    

FCM    1/200 - 1/400    

ELISA    1/10000    

References