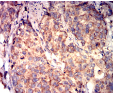
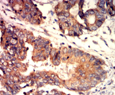
CXCL16 Mouse Monoclonal antibody[3G12C]

AccuSift
SRPSOX; CXCLG16; SR-PSOX
SKU Name Unit Price Delivery QTY
AC2028 CXCL16 Mouse Monoclonal antibody[3G12C] 100ug $367 10days
AC2028 CXCL16 Mouse Monoclonal antibody[3G12C] 200ug $660.6 10days

CXCL16 (C-X-C Motif Chemokine Ligand 16) is a Protein Coding gene. Diseases associated with CXCL16 include Xanthogranulomatous Cholecystitis and Systemic Lupus Erythematosus. Among its related pathways are Signaling by GPCR and PEDF Induced Signaling. Gene Ontology (GO) annotations related to this gene include chemokine activity and low-density lipoprotein particle receptor activity.



Aliases:    SRPSOX; CXCLG16; SR-PSOX    

Entrez GeneID:    58191    

Swissprot:    Q9H2A7    

WB Predicted band size:    27.6kDa    

Host/Isotype:    Mouse IgG2a    

Species Reactivity:    Human    

Immunogen:    Purified recombinant fragment of human CXCL16 (AA: Extra(30-205)) expressed in E. Coli.    

Operation

IHC    1/200-1/1000    

FCM    1/200-1/400    

ELISA    1/10000    

References