CTTN Mouse Monoclonal antibody[4C6G2]

AccuSift
EMS1; FLJ34459; CTTN
SKU Name Unit Price Delivery QTY
AC2024 CTTN Mouse Monoclonal antibody[4C6G2] 100ug $367 10days
AC2024 CTTN Mouse Monoclonal antibody[4C6G2] 200ug $660.6 10days

This gene is overexpressed in breast cancer and squamous cell carcinomas of the head and neck. The encoded protein is localized in the cytoplasm and in areas of the cell-substratum contacts. This gene has two roles: (1) regulating the interactions between components of adherens-type junctions and (2) organizing the cytoskeleton and cell adhesion structures of epithelia and carcinoma cells. During apoptosis, the encoded protein is degraded in a caspase-dependent manner. The aberrant regulation of this gene contributes to tumor cell invasion and metastasis. Three splice variants that encode different isoforms have been identified for this gene. (provided by RefSeq)



Aliases:    EMS1; FLJ34459; CTTN    

Entrez GeneID:    2017    

Swissprot:    Q14247    

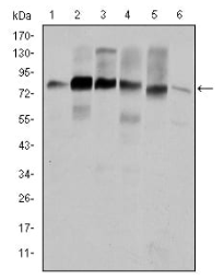
WB Predicted band size:    80kDa    

Host/Isotype:    Mouse IgG1    

Species Reactivity:    Human,Mouse    

Immunogen:    Purified recombinant fragment of human CTTN expressed in E. Coli.    

Operation

WB    1/500 - 1/2000    

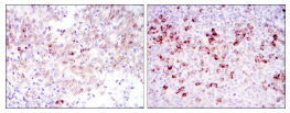
IHC    1/200 - 1/1000    

ELISA    1/10000    

References