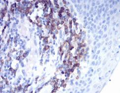
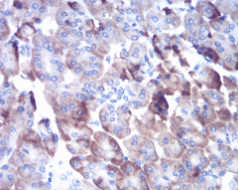
CTSD Mouse Monoclonal antibody[2H4H5]

AccuSift
CPSD; CLN10; HEL-S-130P
SKU Name Unit Price Delivery QTY
AC2023 CTSD Mouse Monoclonal antibody[2H4H5] 100ug $367 10days
AC2023 CTSD Mouse Monoclonal antibody[2H4H5] 200ug $660.6 10days

This gene encodes a lysosomal aspartyl protease composed of a dimer of disulfide-linked heavy and light chains, both produced from a single protein precursor. This proteinase, which is a member of the peptidase C1 family, has a specificity similar to but narrower than that of pepsin A. Transcription of this gene is initiated from several sites, including one which is a start site for an estrogen-regulated transcript. Mutations in this gene are involved in the pathogenesis of several diseases, including breast cancer and possibly Alzheimer disease.



Aliases:    CPSD; CLN10; HEL-S-130P    

Entrez GeneID :   1509    

Swissprot :   P07339     

WB Predicted band size:    44.6kDa    

Host/Isotype:    Mouse IgG1    

Species Reactivity:    Human    

Immunogen:    Purified recombinant fragment of human CTSD (AA: 1-100) expressed in E. Coli.    

Operation

IHC    1/200 - 1/1000    

ELISA    1/10000    

References