CTNNBL1 Mouse Monoclonal antibody[1E4F5]

AccuSift
NAP; P14L; PP8304; C20orf33; dJ633O20.1
SKU Name Unit Price Delivery QTY
AC2020 CTNNBL1 Mouse Monoclonal antibody[1E4F5] 100ug $367 10days
AC2020 CTNNBL1 Mouse Monoclonal antibody[1E4F5] 200ug $660.6 10days

The protein encoded by this gene is a component of the pre-mRNA-processing factor 19-cell division cycle 5-like (PRP19-CDC5L) protein complex, which activates pre-mRNA splicing and is an integral part of the spliceosome. The encoded protein is also a nuclear localization sequence binding protein, and binds to activation-induced deaminase and is important for antibody diversification. This gene may also be associated with the development of obesity. Alternative splicing results in multiple transcript variants. A pseudogene of this gene has been defined on the X chromosome.



Aliases:    NAP; P14L; PP8304; C20orf33; dJ633O20.1    

Entrez GeneID:    56259    

Swissprot:    Q8WYA6    

WB Predicted band size:    65.2kDa    

Host/Isotype:    Mouse IgG1    

Species Reactivity:    Human    

Immunogen:    Purified recombinant fragment of human CTNNBL1 (AA: 390-557) expressed in E. Coli.    

Operation

WB    1/500 - 1/2000    

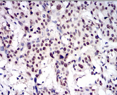
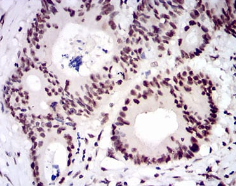
IHC    1/200 - 1/1000    

IF/ICC    1/200 - 1/1000    

FCM    1/200 - 1/400    

ELISA    1/10000    

References