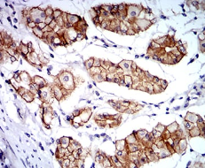
CTNNA1 Mouse Monoclonal antibody[8B6C1]

AccuSift
CAP102
SKU Name Unit Price Delivery QTY
AC2015 CTNNA1 Mouse Monoclonal antibody[8B6C1] 100ug $367 10days
AC2015 CTNNA1 Mouse Monoclonal antibody[8B6C1] 200ug $660.6 10days

CTNNA1 (Catenin (Cadherin-Associated Protein), Alpha 1, 102kDa) is a Protein Coding gene. Diseases associated with CTNNA1 include diffuse gastric cancer and acquired thrombocytopenia. Among its related pathways are Signaling by GPCR and Developmental Biology. GO annotations related to this gene include poly(A) RNA binding and actin filament binding. An important paralog of this gene is CTNNA3.



Aliases:    CAP102    

Entrez GeneID :   1495    

Swissprot:    P35221     

WB Predicted band size:    100kDa    

Host/Isotype:    Mouse IgG1    

Species Reactivity:    Human    

Immunogen:    Purified recombinant fragment of human CTNNA1 (AA: 371-574) expressed in E. Coli.    

Operation

IHC    1/200 - 1/1000    

ELISA    1/10000    

References