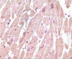
CTnI Mouse Monoclonal antibody[3A10A]

AccuSift
CMH7; RCM1; cTnI; CMD2A; TNNC1; MGC116817; TNNI3
SKU Name Unit Price Delivery QTY
AC2014 CTnI Mouse Monoclonal antibody[3A10A] 100ug $367 10days
AC2014 CTnI Mouse Monoclonal antibody[3A10A] 200ug $660.6 10days

cTnI has an apparent molecular weight of 22.5 kDa. cTnI is a candidate marker with acceptable sensitivity and specificity for AMI and other cardiac diseases. Troponin, a molecule that binds to the thin filament (actin) of striated muscle fibers, acts with intracellular calcium to control the interaction of the thin filament with the thick filament (myosin), thus regulating muscle contraction. Troponin I prevents muscle contraction in the absence of calcium, which has two skeletal muscle isoforms with considerable amino acid sequence homology. cTnI contains an additional N-terminal sequence and is highly specific for myocardium.



Aliases:    CMH7; RCM1; cTnI; CMD2A; TNNC1    

Entrez GeneID:    7137    

Swissprot:    P19429    

Host/Isotype :   Mouse IgG1    

Species Reactivity:    Human    

Immunogen :   Purified recombinant fragment of cTnI expressed in E. Coli.    

Operation

IHC    1/200 - 1/1000    

ELISA    1/10000    

References