CSNK2B Mouse Monoclonal antibody[1H8A5]

AccuSift
G5A; CK2B; CK2N; CSK2B
SKU Name Unit Price Delivery QTY
AC2009 CSNK2B Mouse Monoclonal antibody[1H8A5] 100ug $367 10days
AC2009 CSNK2B Mouse Monoclonal antibody[1H8A5] 200ug $660.6 10days

This gene encodes the beta subunit of casein kinase II, a ubiquitous protein kinase which regulates metabolic pathways, signal transduction, transcription, translation, and replication. The enzyme is composed of three subunits, alpha, alpha prime and beta, which form a tetrameric holoenzyme. The alpha and alpha prime subunits are catalytic, while the beta subunit serves regulatory functions. The enzyme localizes to the endoplasmic reticulum and the Golgi apparatus. Two transcript variants encoding different isoforms have been found for this gene.



Aliases :   G5A; CK2B; CK2N; CSK2B    

Entrez GeneID:    1460    

Swissprot:    P67870    

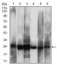
WB Predicted band size:    25kDa    

Host/Isotype :   Mouse IgG1    

Species Reactivity:    Human    

Immunogen:    Purified recombinant fragment of human CSNK2B (AA: FULL(1-215)) expressed in E. Coli.    

Operation

WB    1/500 - 1/2000    

FCM    1/200 - 1/400    

ELISA    1/10000    

References