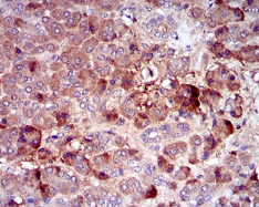
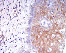
CSF1R Mouse Monoclonal antibody[6B9B9]

AccuSift
FMS; CSFR; FIM2; HDLS; C-FMS; CD115; CSF-1R; M-CSF-R
SKU Name Unit Price Delivery QTY
AC2002 CSF1R Mouse Monoclonal antibody[6B9B9] 100ug $367 10days
AC2002 CSF1R Mouse Monoclonal antibody[6B9B9] 200ug $660.6 10days

The protein encoded by this gene is the receptor for colony stimulating factor 1, a cytokine which controls the production, differentiation, and function of macrophages. This receptor mediates most if not all of the biological effects of this cytokine. Ligand binding activates the receptor kinase through a process of oligomerization and transphosphorylation. The encoded protein is a tyrosine kinase transmembrane receptor and member of the CSF1/PDGF receptor family of tyrosine-protein kinases. Mutations in this gene have been associated with a predisposition to myeloid malignancy. The first intron of this gene contains a transcriptionally inactive ribosomal protein L7 processed pseudogene oriented in the opposite direction.



Aliases:    FMS; CSFR; FIM2; HDLS; C-FMS; CD115; CSF-1R; M-CSF-R    

Entrez GeneID :   1436    

Swissprot :   P07333    

WB Predicted band size :   108kDa    

Host/Isotype:    Mouse IgG2b    

Species Reactivity:    Human    

Immunogen:    Purified recombinant fragment of human CSF1R (AA: 344-497) expressed in E. Coli.    

Operation

IHC    1/200 - 1/1000    

IF/ICC    1/200 - 1/1000    

ELISA    1/10000    

References