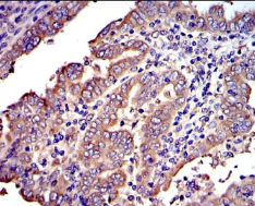
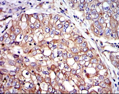
CRK Mouse Monoclonal antibody[3GPO1]

AccuSift
CRKII
SKU Name Unit Price Delivery QTY
AC1992 CRK Mouse Monoclonal antibody[3GPO1] 100ug $367 10days
AC1992 CRK Mouse Monoclonal antibody[3GPO1] 200ug $660.6 10days

This gene encodes a member of an adapter protein family that binds to several tyrosine-phosphorylated proteins. The product of this gene has several SH2 and SH3 domains (src-homology domains) and is involved in several signaling pathways, recruiting cytoplasmic proteins in the vicinity of tyrosine kinase through SH2-phosphotyrosine interaction. The N-terminal SH2 domain of this protein functions as a positive regulator of transformation whereas the C-terminal SH3 domain functions as a negative regulator of transformation. Two alternative transcripts encoding different isoforms with distinct biological activity have been described.



Aliases:    CRKII    

Entrez GeneID :   1398    

Swissprot :   P46108     

WB Predicted band size :   42kDa    

Host/Isotype :   Mouse IgG2b    

Species Reactivity :   Human    

Immunogen :   Purified recombinant fragment of human CRK expressed in E. Coli.    

Operation

IHC    1/200 - 1/1000    

IF/ICC    1/200 - 1/1000    

FCM    1/200 - 1/400    

ELISA    1/10000    

References