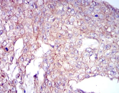
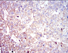
COTL1 Mouse Monoclonal antibody[5C8A5]

AccuSift
CLP
SKU Name Unit Price Delivery QTY
AC1981 COTL1 Mouse Monoclonal antibody[5C8A5] 100ug $367 10days
AC1981 COTL1 Mouse Monoclonal antibody[5C8A5] 200ug $660.6 10days

This gene encodes one of the numerous actin-binding proteins which regulate the actin cytoskeleton. This protein binds F-actin, and also interacts with 5-lipoxygenase, which is the first committed enzyme in leukotriene biosynthesis. Although this gene has been reported to map to chromosome 17 in the Smith-Magenis syndrome region, the best alignments for this gene are to chromosome 16. The Smith-Magenis syndrome region is the site of two related pseudogenes.



Aliases :   CLP    

Entrez GeneID :   23406    

Swissprot:    Q14019    

WB Predicted band size:    16kDa    

Host/Isotype    Mouse IgG1    

Species Reactivity:    Human    

Immunogen:    Purified recombinant fragment of human COTL1 expressed in E. Coli.    

Operation

IHC    1/200 - 1/1000    

ELISA    1/10000    

References