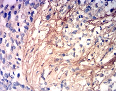
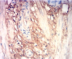
COL3A1 Mouse Monoclonal antibody[8C1G1]

AccuSift
EDS4A; EDSVASC; PMGEDSV
SKU Name Unit Price Delivery QTY
AC1980 COL3A1 Mouse Monoclonal antibody[8C1G1] 100ug $367 10days
AC1980 COL3A1 Mouse Monoclonal antibody[8C1G1] 200ug $660.6 10days

This gene encodes the pro-alpha1 chains of type III collagen, a fibrillar collagen that is found in extensible connective tissues such as skin, lung, uterus, intestine and the vascular system, frequently in association with type I collagen. Mutations in this gene are associated with Ehlers-Danlos syndrome types IV, and with aortic and arterial aneurysms. Two transcripts, resulting from the use of alternate polyadenylation signals, have been identified for this gene.



Aliases:    EDS4A; EDSVASC; PMGEDSV    

Entrez GeneID:    1281    

Swissprot:    P02461    

WB Predicted band size:    138.6kDa    

Host/Isotype:    Mouse IgG1    

Species Reactivity    Human    

Immunogen:    Purified recombinant fragment of human COL3A1 (AA: 24-153) expressed in E. Coli.    

Operation

IHC    1/200 - 1/1000    

FCM    1/200 - 1/400    

ELISA    1/10000    

References