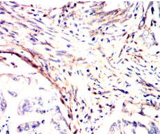
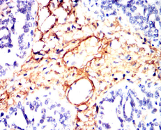
COL2A1 Mouse Monoclonal antibody[7F2A1]

AccuSift
AOM; ANFH; SEDC; STL1; COL11A3
SKU Name Unit Price Delivery QTY
AC1978 COL2A1 Mouse Monoclonal antibody[7F2A1] 100ug $367 10days
AC1978 COL2A1 Mouse Monoclonal antibody[7F2A1] 200ug $660.6 10days

This gene encodes the alpha-1 chain of type II collagen, a fibrillar collagen found in cartilage and the vitreous humor of the eye. Mutations in this gene are associated with achondrogenesis, chondrodysplasia, early onset familial osteoarthritis, SED congenita, Langer-Saldino achondrogenesis, Kniest dysplasia, Stickler syndrome type I, and spondyloepimetaphyseal dysplasia Strudwick type. In addition, defects in processing chondrocalcin, a calcium binding protein that is the C-propeptide of this collagen molecule, are also associated with chondrodysplasia. There are two transcripts identified for this gene.



Aliases:    AOM; ANFH; SEDC; STL1; COL11A3    

Entrez GeneID :   1280    

Swissprot  :  P02458         

WB Predicted band size:    142kDa    

Host/Isotype:    Mouse IgG1    

Species Reactivity :   Human    

Immunogen:    Purified recombinant fragment of human COL2A1 (AA: 1222-1487) expressed in mammalian.    

Operation

IHC    1/200 - 1/1000    

FCM    1/200 - 1/400    

ELISA    1/10000    

References