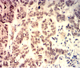
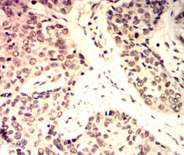
C-MYC Mouse Monoclonal antibody[6H11F]

AccuSift
MRTL; MYCC; c-Myc; bHLHe39
SKU Name Unit Price Delivery QTY
AC1971 C-MYC Mouse Monoclonal antibody[6H11F] 100ug $367 10days
AC1971 C-MYC Mouse Monoclonal antibody[6H11F] 200ug $660.6 10days

This gene is a proto-oncogene and encodes a nuclear phosphoprotein that plays a role in cell cycle progression, apoptosis and cellular transformation. The encoded protein forms a heterodimer with the related transcription factor MAX. This complex binds to the E box DNA consensus sequence and regulates the transcription of specific target genes. Amplification of this gene is frequently observed in numerous human cancers. Translocations involving this gene are associated with Burkitt lymphoma and multiple myeloma in human patients. There is evidence to show that translation initiates both from an upstream, in-frame non-AUG (CUG) and a downstream AUG start site, resulting in the production of two isoforms with distinct N-termini. [provided by RefSeq, Aug 2017]



Aliases :   MRTL; MYCC; c-Myc; bHLHe39    

Entrez GeneID:    4609    

Swissprot :   P01106    

WB Predicted band size:    32.1/57/48.8kDa    

Host/Isotype:    Mouse IgG1    

Species Reactivity:    Human    

Immunogen:    Purified recombinant fragment of human C-MYC (AA: (290-439)) expressed in E. Coli.    

Operation

IHC    1/200-1/1000    

FCM    1/200-1/400    

ELISA    1/10000    

References