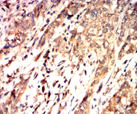
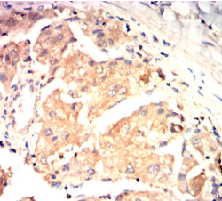
CLEC2 Mouse Monoclonal antibody[4D265]

AccuSift
CLEC2; CLEC2B; PRO1384; QDED721; 1810061I13Rik
SKU Name Unit Price Delivery QTY
AC1962 CLEC2 Mouse Monoclonal antibody[4D265] 100ug $367 10days
AC1962 CLEC2 Mouse Monoclonal antibody[4D265] 200ug $660.6 10days

Natural killer (NK) cells express multiple calcium-dependent (C-type) lectin-like receptors, such as CD94 (KLRD1; MIM 602894) and NKG2D (KLRC4; MIM 602893), that interact with major histocompatibility complex class I molecules and either inhibit or activate cytotoxicity and cytokine secretion. CLEC2 is a C-type lectin-like receptor expressed in myeloid cells and NK cells (Colonna et al., 2000 [PubMed 10671229])



Aliases :   CLEC2; CLEC2B; PRO1384; QDED721; 1810061I13Rik    

Entrez GeneID:    51266    

Swissprot :   Q9P126    

WB Predicted band size:    26.6kDa    

Host/Isotype:    Mouse IgG2a    

Species Reactivity:    Human    

Immunogen :   Purified recombinant fragment of human CLEC2 (AA: Extra(58-229)) expressed in E. Coli.    

Operation

IHC    1/200 - 1/1000    

FCM    1/200 - 1/400    

ELISA    1/10000    

References