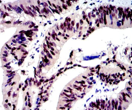
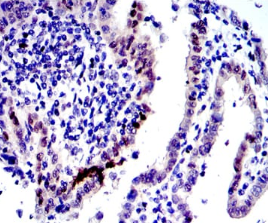
c-Jun Mouse Monoclonal antibody[5B1A1]

AccuSift
AP1; AP-1; c-Jun; Jun
SKU Name Unit Price Delivery QTY
AC1947 c-Jun Mouse Monoclonal antibody[5B1A1] 100ug $367 10days
AC1947 c-Jun Mouse Monoclonal antibody[5B1A1] 200ug $660.6 10days

This gene is the putative transforming gene of avian sarcoma virus 17. It encodes a protein which is highly similar to the viral protein, and which interacts directly with specific target DNA sequences to regulate gene expression. This gene is intronless and is mapped to 1p32-p31, a chromosomal region involved in both translocations and deletions in human malignancies.



Aliases:    AP1; AP-1; c-Jun; Jun    

Entrez GeneID:    3725    

Swissprot:    P05412    

WB Predicted band size:    43kDa    

Host/Isotype:    Mouse IgG1    

Species Reactivity:    Human,Mouse,Monkey    

Immunogen:    Purified recombinant fragment of human c-Jun expressed in E. Coli.    

Operation

WB    1/500 - 1/2000    

IHC    1/200 - 1/1000    

IF/ICC    1/200 - 1/1000    

FCM    1/200 - 1/400    

ELISA    1/10000    

References