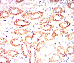
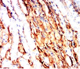
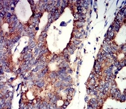
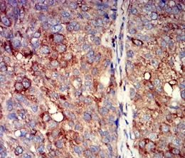
CHRNA7 Mouse Monoclonal antibody[7F101]

AccuSift
NACHRA7; CHRNA7-2
SKU Name Unit Price Delivery QTY
AC1929 CHRNA7 Mouse Monoclonal antibody[7F101] 100ug $367 10days
AC1929 CHRNA7 Mouse Monoclonal antibody[7F101] 200ug $660.6 10days

The nicotinic acetylcholine receptors (nAChRs) are members of a superfamily of ligand-gated ion channels that mediate fast signal transmission at synapses. The nAChRs are thought to be hetero-pentamers composed of homologous subunits. The proposed structure for each subunit is a conserved N-terminal extracellular domain followed by three conserved transmembrane domains, a variable cytoplasmic loop, a fourth conserved transmembrane domain, and a short C-terminal extracellular region. The protein encoded by this gene forms a homo-oligomeric channel, displays marked permeability to calcium ions and is a major component of brain nicotinic receptors that are blocked by, and highly sensitive to, alpha-bungarotoxin. Once this receptor binds acetylcholine, it undergoes an extensive change in conformation that affects all subunits and leads to opening of an ion-conducting channel across the plasma membrane. This gene is located in a region identified as a major susceptibility locus for juvenile myoclonic epilepsy and a chromosomal location involved in the genetic transmission of schizophrenia. An evolutionarily recent partial duplication event in this region results in a hybrid containing sequence from this gene and a novel FAM7A gene. Alternative splicing results in multiple transcript variants.



Aliases :   NACHRA7; CHRNA7-2    

Entrez GeneID:    1139    

Swissprot:    P36544    

WB Predicted band size:    56.4kDa    

Host/Isotype:    Mouse IgG1    

Species Reactivity:    Human,Mouse,Rat,Rabbit    

Immunogen:   Purified recombinant fragment of human CHRNA7 (AA: extra 52-259) expressed in E. Coli.    

Operation

IHC    1/100 - 1/500    

FCM    1/200 - 1/400    

ELISA    1/10000    

References