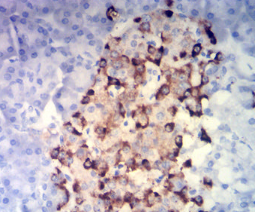
CHGA Mouse Monoclonal antibody[5H10]

AccuSift
CGA
SKU Name Unit Price Delivery QTY
AC1913 CHGA Mouse Monoclonal antibody[5H10] 100ug $367 10days
AC1913 CHGA Mouse Monoclonal antibody[5H10] 200ug $660.6 10days

The protein encoded by this gene is a member of the chromogranin/secretogranin family of neuroendocrine secretory proteins. It is found in secretory vesicles of neurons and endocrine cells. This gene product is a precursor to three biologically active peptides; vasostatin, pancreastatin, and parastatin. These peptides act as autocrine or paracrine negative modulators of the neuroendocrine system. Two other peptides, catestatin and chromofungin, have antimicrobial activity and antifungal activity, respectively. Two transcript variants encoding different isoforms have been found for this gene.



Aliases:    CGA    

Entrez GeneID:    1113    

Swissprot:    P10645        

WB Predicted band size:   50kDa    

Host/Isotype :   Mouse IgG2b    

Species Reactivity:    Human    

Immunogen:    Purified recombinant fragment of human CHGA (AA: 278-457) expressed in E. Coli.    

Operation

WB    1/500 - 1/2000    

IHC    1/200-1/1000    

FCM    1/200-1/400    

ELISA    1/10000    

References