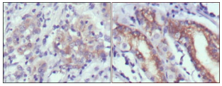
CER1 Mouse Monoclonal antibody[9D6G1]

AccuSift
DAND4; MGC96951; MGC119894; MGC119895; CER1
SKU Name Unit Price Delivery QTY
AC1902 CER1 Mouse Monoclonal antibody[9D6G1] 100ug $367 10days
AC1902 CER1 Mouse Monoclonal antibody[9D6G1] 200ug $660.6 10days

CER1: cerberus 1, cysteine knot superfamily, homolog (Xenopus laevis). Ii is a cytokine member of the cysteine knot superfamily, characterized by nine conserved cysteines and a cysteine knot region. The cerberus-related cytokines, together with Dan and DRM/Gremlin, represent a group of bone morphogenetic protein (BMP) antagonists that can bind directly to BMPs and inhibit their activity.



Aliases :   DAND4    

Entrez GeneID:    9350    

Swissprot:    O95813    

WB Predicted band size:    30kDa    

Host/Isotype:    Mouse IgG1    

Species Reactivity:    Human    

Immunogen:    Purified recombinant fragment of human CER1 expressed in E. Coli.    

Operation

IHC    1/200 - 1/1000    

ELISA    1/10000    

References