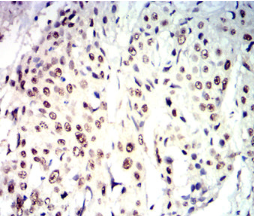
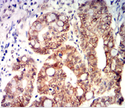
CDX2 Mouse Monoclonal antibody[5B4C1]

AccuSift
CDX3; CDX-3; CDX2/AS
SKU Name Unit Price Delivery QTY
AC1889 CDX2 Mouse Monoclonal antibody[5B4C1] 100ug $367 10days
AC1889 CDX2 Mouse Monoclonal antibody[5B4C1] 200ug $660.6 10days

This gene is a member of the caudal-related homeobox transcription factor gene family. The encoded protein is a major regulator of intestine-specific genes involved in cell growth an differentiation. This protein also plays a role in early embryonic development of the intestinal tract. Aberrant expression of this gene is associated with intestinal inflammation and tumorigenesis. [provided by RefSeq, Jan 2012]



Aliases :   CDX3; CDX-3; CDX2/AS    

Entrez GeneID:    1045    

Swissprot :   Q99626    

WB Predicted band size:    33.5kDa    

Host/Isotype :   Mouse IgG1    

Species Reactivity:    Human    

Immunogen:    Purified recombinant fragment of human CDX2 (AA: 1-180) expressed in E. Coli.    

Operation

IHC    1/200-1/1000    

FCM    1/200-1/400    

ELISA    1/10000    

References