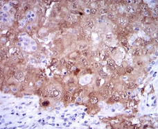
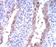
CDKN2A Mouse Monoclonal antibody[1D7D2]

AccuSift
ARF; MLM; P14; P16; P19; CMM2; INK4; MTS1; TP16; CDK4I; CDKN2; INK4A; MTS-1; P14ARF; P19ARF; P16INK4; P16INK4A; P16-INK4A
SKU Name Unit Price Delivery QTY
AC1883 CDKN2A Mouse Monoclonal antibody[1D7D2] 100ug $367 10days
AC1883 CDKN2A Mouse Monoclonal antibody[1D7D2] 200ug $660.6 10days

This gene generates several transcript variants which differ in their first exons. At least three alternatively spliced variants encoding distinct proteins have been reported, two of which encode structurally related isoforms known to function as inhibitors of CDK4 kinase. The remaining transcript includes an alternate first exon located 20 Kb upstream of the remainder of the gene; this transcript contains an alternate open reading frame (ARF) that specifies a protein which is structurally unrelated to the products of the other variants. This ARF product functions as a stabilizer of the tumor suppressor protein p53 as it can interact with, and sequester, MDM1, a protein responsible for the degradation of p53. In spite of the structural and functional differences, the CDK inhibitor isoforms and the ARF product encoded by this gene, through the regulatory roles of CDK4 and p53 in cell cycle G1 progression, share a common functionality in cell cycle G1 control. This gene is frequently mutated or deleted in a wide variety of tumors, and is known to be an important tumor suppressor gene.



Aliases:    ARF; MLM; P14; P16; P19; CMM2; INK4; MTS1; TP16; CDK4I; CDKN2; INK4A; MTS-1; P14ARF; P19ARF; P16INK4; P16INK4A; P16-INK4A    

Entrez GeneID:    1029    

Swissprot:    P42771        

WB Predicted band size :   16.5kDa    

Host/Isotype :   Mouse IgG1     

Species Reactivity:    Human    

Immunogen:    Purified recombinant fragment of human CDKN2A (AA: 1-156) expressed in E. Coli.    

Operation

IHC    1/200 - 1/1000    

FCM    1/200 - 1/400    

ELISA    1/10000    

References