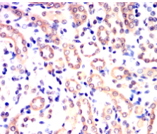
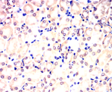
CDK9 Mouse Monoclonal antibody[35GKJ5]

AccuSift
TAK; C-2k; CTK1; CDC2L4; PITALRE
SKU Name Unit Price Delivery QTY
AC1875 CDK9 Mouse Monoclonal antibody[35GKJ5] 100ug $367 10days
AC1875 CDK9 Mouse Monoclonal antibody[35GKJ5] 200ug $660.6 10days

The protein encoded by this gene is a member of the cyclin-dependent protein kinase (CDK) family. CDK family members are highly similar to the gene products of S. cerevisiae cdc28, and S. pombe cdc2, and known as important cell cycle regulators. This kinase was found to be a component of the multiprotein complex TAK/P-TEFb, which is an elongation factor for RNA polymerase II-directed transcription and functions by phosphorylating the C-terminal domain of the largest subunit of RNA polymerase II. This protein forms a complex with and is regulated by its regulatory subunit cyclin T or cyclin K. HIV-1 Tat protein was found to interact with this protein and cyclin T, which suggested a possible involvement of this protein in AIDS. (provided by RefSeq)Tissue specificity: Ubiquitous.



Aliases :   TAK; C-2k; CTK1; CDC2L4; PITALRE    

Entrez GeneID:    1025    

Swissprot :   P50750       

WB Predicted band size:    43kDa    

Host/Isotype :   Mouse IgG1    

Species Reactivity:    Human,Mouse,Rat,Rabbit,Monkey    

Immunogen :   Purified recombinant fragment of human CDK9 expressed in E. Coli.    

Operation

IHC    1/200 - 1/1000    

ELISA    1/10000    

References