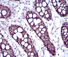
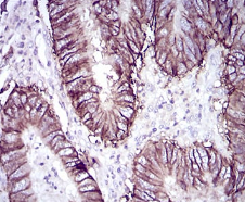
CDH17 Mouse Monoclonal antibody[7D10E]

AccuSift
HPT1; CDH16; HPT-1
SKU Name Unit Price Delivery QTY
AC1864 CDH17 Mouse Monoclonal antibody[7D10E] 100ug $367 10days
AC1864 CDH17 Mouse Monoclonal antibody[7D10E] 200ug $660.6 10days

This gene is a member of the cadherin superfamily, genes encoding calcium-dependent, membrane-associated glycoproteins. The encoded protein is cadherin-like, consisting of an extracellular region, containing 7 cadherin domains, and a transmembrane region but lacking the conserved cytoplasmic domain. The protein is a component of the gastrointestinal tract and pancreatic ducts, acting as an intestinal proton-dependent peptide transporter in the first step in oral absorption of many medically important peptide-based drugs. The protein may also play a role in the morphological organization of liver and intestine. Alternative splicing results in multiple transcript variants.



Aliases :   HPT1; CDH16; HPT-1    

Entrez GeneID:    1015    

Swissprot :   Q12864     

WB Predicted band size :   92.2kDa    

Host/Isotype:    Mouse IgG1    

Species Reactivity :   Human    

Immunogen :   Purified recombinant fragment of human CDH17 (AA: extra(600-707)) expressed in E. Coli.    

Operation

IHC    1/200 - 1/1000    

ELISA    1/10000    

References