CDH11 Mouse Monoclonal antibody[4E1G2]

AccuSift
OB; CAD11; CDHOB; OSF-4
SKU Name Unit Price Delivery QTY
AC1862 CDH11 Mouse Monoclonal antibody[4E1G2] 100ug $367 10days
AC1862 CDH11 Mouse Monoclonal antibody[4E1G2] 200ug $660.6 10days

This gene encodes a type II classical cadherin from the cadherin superfamily, integral membrane proteins that mediate calcium-dependent cell-cell adhesion. Mature cadherin proteins are composed of a large N-terminal extracellular domain, a single membrane-spanning domain, and a small, highly conserved C-terminal cytoplasmic domain. Type II (atypical) cadherins are defined based on their lack of a HAV cell adhesion recognition sequence specific to type I cadherins. Expression of this particular cadherin in osteoblastic cell lines, and its upregulation during differentiation, suggests a specific function in bone development and maintenance.

  

Aliases:    OB; CAD11; CDHOB; OSF-4    

Entrez GeneID:    1009    

Swissprot:    P55287    

WB Predicted band size:    88kDa    

Host/Isotype :   Mouse IgG1    

Species Reactivity:    Human    

Immunogen:    Purified recombinant fragment of human CDH11 (AA: 468-617) expressed in E. Coli.    

Operation

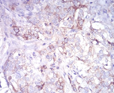
IHC    1/200 - 1/1000    

IF/ICC    1/200 - 1/1000    

FCM    1/200 - 1/400    

ELISA    1/10000    

References