CDC2 Mouse Monoclonal antibody[8C5A6]

AccuSift
CDC2; CDC28A; P34CDC2; MGC111195; DKFZp686L20222; CDK1
SKU Name Unit Price Delivery QTY
AC1850 CDC2 Mouse Monoclonal antibody[8C5A6] 100ug $367 10days
AC1850 CDC2 Mouse Monoclonal antibody[8C5A6] 200ug $660.6 10days

The cell division control protein cdc2, also known as cyclin-dependent kinase 1 (Cdk1) or p34/cdk1, plays a key role in the control of the eukaryotic cell cycle, where it is required for entry into S-phase and mitosis. Cdc2 exists as a complex with both cyclin A and cyclin B. The best characterized of these associations is the Cdc2 p34 cyclin B complex, which is required for the G2 to M phase transition. Activation of Cdc2 is controlled at several steps including cyclin binding and phosphorylation of threonine 161. However, the critical regulatory step in activating cdc2 during progression into mitosis appears to be dephosphorylation of Tyr15 and Tyr14. Phosphorylation at Tyr15 and inhibition of Cdc2 is carried out by WEE1 and MIK protein kinases while Tyr15 dephosphorylation and activation of Cdc2 is carried out by the cdc25 phosphatase. The isoform CDC2deltaT is found in breast cancer tissues. Furthermore, cdc2/Cdk1 is a key mediator of neuronal cell death in brain development and degeneration.



Aliases :   CDC2; CDC28A; P34CDC2; MGC111195; DKFZp686L20222; CDK1    

Entrez GeneID:    983    

Swissprot:    P06493    

WB Predicted band size :   34kDa    

Host/Isotype:    Mouse IgG1    

Species Reactivity :   Human    

Immunogen:    Purified recombinant fragment of CDC2 expressed in E. Coli.    

Operation

WB    1/500 - 1/2000    

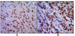
IHC    1/200 - 1/1000    

ELISA    1/10000    

References