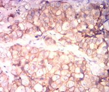
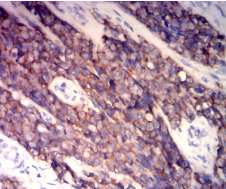
CD99 Mouse Monoclonal antibody[7E11C]

AccuSift
MIC2; HBA71; MIC2X; MIC2Y; MSK5X
SKU Name Unit Price Delivery QTY
AC1849 CD99 Mouse Monoclonal antibody[7E11C] 100ug $367 10days
AC1849 CD99 Mouse Monoclonal antibody[7E11C] 200ug $660.6 10days

The protein encoded by this gene is a cell surface glycoprotein involved in leukocyte migration, T-cell adhesion, ganglioside GM1 and transmembrane protein transport, and T-cell death by a caspase-independent pathway. In addition, the encoded protein may have the ability to rearrange the actin cytoskeleton and may also act as an oncosuppressor in osteosarcoma. This gene is found in the pseudoautosomal region of chromosomes X and Y and escapes X-chromosome inactivation. There is a related pseudogene located immediately adjacent to this locus.



Aliases:    MIC2; HBA71; MIC2X; MIC2Y; MSK5X    

Entrez GeneID:    4267    

Swissprot:    P14209     

WB Predicted band size:    18.8kDa    

Host/Isotype :   Mouse IgG1    

Species Reactivity:    Human    

Immunogen:    Purified recombinant fragment of human CD99 (AA: 1-185) expressed in E. Coli.    

Operation

WB    1/500 - 1/2000    

IHC    1/200-1/1000    

IF/ICC    1/200 - 1/1000    

FCM    1/200-1/400    

ELISA    1/10000    

References