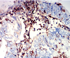
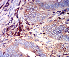
CD97 Mouse Monoclonal antibody[6D7E6]

AccuSift
ADGRE5; TM7LN1
SKU Name Unit Price Delivery QTY
AC1847 CD97 Mouse Monoclonal antibody[6D7E6] 100ug $367 10days
AC1847 CD97 Mouse Monoclonal antibody[6D7E6] 200ug $660.6 10days

This gene encodes a member of the EGF-TM7 subfamily of adhesion G protein-coupled receptors, which mediate cell-cell interactions. These proteins are cleaved by self-catalytic proteolysis into a large extracellular subunit and seven-span transmembrane subunit, which associate at the cell surface as a receptor complex. The encoded protein may play a role in cell adhesion as well as leukocyte recruitment, activation and migration, and contains multiple extracellular EGF-like repeats which mediate binding to chondroitin sulfate and the cell surface complement regulatory protein CD55. Expression of this gene may play a role in the progression of several types of cancer. Alternatively spliced transcript variants encoding multiple isoforms with 3 to 5 EGF-like repeats have been observed for this gene. This gene is found in a cluster with other EGF-TM7 genes on the short arm of chromosome 19.



Aliases:    ADGRE5; TM7LN1    

Entrez GeneID:    976    

Swissprot :   P48960    

WB Predicted band size:    91.8kDa    

Host/Isotype :   Mouse IgG2a    

Species Reactivity:    Human    

Immunogen:    Purified recombinant fragment of human CD97 (AA: extra 419-552) expressed in E. Coli.    

Operation

IHC    1/200 - 1/1000    

FCM    1/200 - 1/400    

ELISA    1/10000    

References