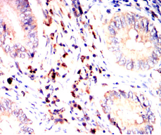
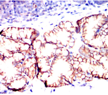
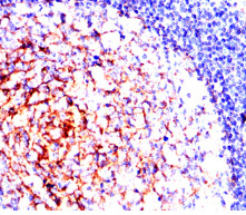
CD82 Mouse Monoclonal antibody[5D5D5]

AccuSift
R2; 4F9; C33; IA4; ST6; GR15; KAI1; SAR2; TSPAN27
SKU Name Unit Price Delivery QTY
AC1824 CD82 Mouse Monoclonal antibody[5D5D5] 100ug $367 10days
AC1824 CD82 Mouse Monoclonal antibody[5D5D5] 200ug $660.6 10days

This metastasis suppressor gene product is a membrane glycoprotein that is a member of the transmembrane 4 superfamily. Expression of this gene has been shown to be downregulated in tumor progression of human cancers and can be activated by p53 through a consensus binding sequence in the promoter. Its expression and that of p53 are strongly correlated, and the loss of expression of these two proteins is associated with poor survival for prostate cancer patients. Two alternatively spliced transcript variants encoding distinct isoforms have been found for this gene.



Aliases :   R2; 4F9; C33; IA4; ST6; GR15; KAI1; SAR2; TSPAN27    

Entrez GeneID :   3732    

Swissprot:    P27701     

WB Predicted band size:    29.6kDa    

Host/Isotype:    Mouse IgG1    

Species Reactivity :   Human    

Immunogen :   Purified recombinant fragment of human CD82 (AA: extra 111-228) expressed in E. Coli.    

Operation

WB    1/500 - 1/2000    

IHC    1/200 - 1/1000    

FCM    1/200 - 1/400    

ELISA    1/10000    

References