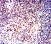
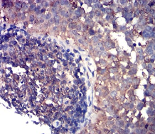
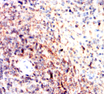
CD80 Mouse Monoclonal antibody[1G3D7]

AccuSift
B7; BB1; B7-1; B7.1; LAB7; CD28LG; CD28LG1
SKU Name Unit Price Delivery QTY
AC1820 CD80 Mouse Monoclonal antibody[1G3D7] 100ug $367 10days
AC1820 CD80 Mouse Monoclonal antibody[1G3D7] 200ug $660.6 10days

The protein encoded by this gene is a membrane receptor that is activated by the binding of CD28 or CTLA-4. The activated protein induces T-cell proliferation and cytokine production. This protein can act as a receptor for adenovirus subgroup B and may play a role in lupus neuropathy. [provided by RefSeq, Aug 2011]



Aliases:    B7; BB1; B7-1; B7.1; LAB7; CD28LG; CD28LG1    

Entrez GeneID:    941    

Swissprot:    P33681    

WB Predicted band size:    33kDa    

Host/Isotype :   Mouse IgG1    

Species Reactivity:    Human,Mouse,Rat,Rabbit    

Immunogen:    Purified recombinant fragment of human CD80 (AA: 35-288) expressed in E. Coli.    

Operation

IHC    1/100 - 1/500    

FCM    1/200 - 1/400    

ELISA    1/10000    

References