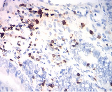
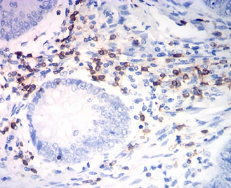
CD7 Mouse Monoclonal antibody[3D11F]

AccuSift
GP40; TP41; Tp40; LEU-9
SKU Name Unit Price Delivery QTY
AC1808 CD7 Mouse Monoclonal antibody[3D11F] 100ug $367 10days
AC1808 CD7 Mouse Monoclonal antibody[3D11F] 200ug $660.6 10days

This gene encodes a transmembrane protein which is a member of the immunoglobulin superfamily. This protein is found on thymocytes and mature T cells. It plays an essential role in T-cell interactions and also in T-cell/B-cell interaction during early lymphoid development.



Aliases :   GP40; TP41; Tp40; LEU-9    

Entrez GeneID:    924    

Swissprot:   P09564    

WB Predicted band size:    25.4kDa    

Host/Isotype :   Mouse IgG2b    

Species Reactivity :   Human    

Immunogen:    Purified recombinant fragment of human CD7 (AA: 26-180) expressed in E. Coli.    

Operation

IHC    1/200 - 1/1000    

FCM    1/200 - 1/400    

ELISA    1/10000    

References