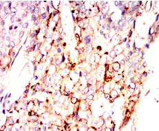
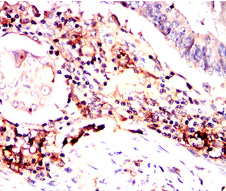
| SKU | Name | Unit | Price | Delivery | QTY |
|---|---|---|---|---|---|
| AC1781 | CD54 Mouse Monoclonal antibody[1D5D5] | 100ug | $367 | 10days |
|
| AC1781 | CD54 Mouse Monoclonal antibody[1D5D5] | 200ug | $660.6 | 10days |
|

WeChat