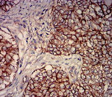
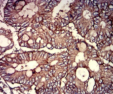
CD46 Mouse Monoclonal antibody[1A5A5]

AccuSift
MCP; TLX; AHUS2; MIC10; TRA2.10
SKU Name Unit Price Delivery QTY
AC1761 CD46 Mouse Monoclonal antibody[1A5A5] 100ug $367 10days
AC1761 CD46 Mouse Monoclonal antibody[1A5A5] 200ug $660.6 10days

The protein encoded by this gene is a type I membrane protein and is a regulatory part of the complement system. The encoded protein has cofactor activity for inactivation of complement components C3b and C4b by serum factor I, which protects the host cell from damage by complement. In addition, the encoded protein can act as a receptor for the Edmonston strain of measles virus, human herpesvirus-6, and type IV pili of pathogenic Neisseria. Finally, the protein encoded by this gene may be involved in the fusion of the spermatozoa with the oocyte during fertilization. Mutations at this locus have been associated with susceptibility to hemolytic uremic syndrome. Alternatively spliced transcript variants encoding different isoforms have been described.



Aliases:    MCP; TLX; AHUS2; MIC10; TRA2.10    

Entrez GeneID :   4179    

Swissprot:    P15529    

WB Predicted band size :   43.7kDa    

Host/Isotype:    Mouse IgG1     

Species Reactivity:    Human    

Immunogen:    Purified recombinant fragment of human CD46 (AA: extra 35-179) expressed in E. Coli.    

Operation

IHC    1/200 - 1/1000    

FCM    1/200 - 1/400    

ELISA    1/10000    

References