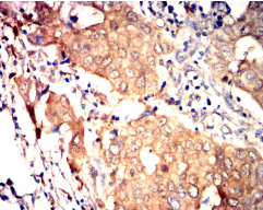
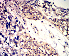
CD42A Mouse Monoclonal antibody[1E210]

AccuSift
GPIX,GP9
SKU Name Unit Price Delivery QTY
AC1745 CD42A Mouse Monoclonal antibody[1E210] 100ug $367 10days
AC1745 CD42A Mouse Monoclonal antibody[1E210] 200ug $660.6 10days



This gene encodes a small membrane glycoprotein found on the surface of human platelets. It forms a 1-to-1 noncovalent complex with glycoprotein Ib, a platelet surface membrane glycoprotein complex that functions as a receptor for von Willebrand factor. The complete receptor complex includes noncovalent association of the alpha and beta subunits with the protein encoded by this gene and platelet glycoprotein V. Defects in this gene are a cause of Bernard-Soulier syndrome, also known as giant platelet disease. These patients have unusually large platelets and have a clinical bleeding tendency. [provided by RefSeq, Oct 2008]




Aliases :   GPIX,GP9    

Entrez GeneID:    2815    

Swissprot:    P14770     

WB Predicted band size:    19kDa    

Host/Isotype :   Mouse IgG1    

Species Reactivity:    Human, Mouse    

Immunogen :   Purified recombinant fragment of human CD42A (AA: extra(17-147)) expressed in E. Coli.    

Operation

WB    1/500 - 1/2000    

IHC    1/200 - 1/1000    

FCM    1/200 - 1/400    

ELISA    1/10000    

References