CD40 Mouse Monoclonal antibody[4E4C6]

AccuSift
p50; Bp50; CDW40; TNFRSF5
SKU Name Unit Price Delivery QTY
AC1741 CD40 Mouse Monoclonal antibody[4E4C6] 100ug $367 10days
AC1741 CD40 Mouse Monoclonal antibody[4E4C6] 200ug $660.6 10days



This gene is a member of the TNF-receptor superfamily. The encoded protein is a receptor on antigen-presenting cells of the immune system and is essential for mediating a broad variety of immune and inflammatory responses including T cell-dependent immunoglobulin class switching, memory B cell development, and germinal center formation. AT-hook transcription factor AKNA is reported to coordinately regulate the expression of this receptor and its ligand, which may be important for homotypic cell interactions. Adaptor protein TNFR2 interacts with this receptor and serves as a mediator of the signal transduction. The interaction of this receptor and its ligand is found to be necessary for amyloid-beta-induced microglial activation, and thus is thought to be an early event in Alzheimer disease pathogenesis. Mutations affecting this gene are the cause of autosomal recessive hyper-IgM immunodeficiency type 3 (HIGM3). Multiple alternatively spliced transcript variants of this gene encoding distinct isoforms have been reported. [provided by RefSeq, Nov 2014]




Aliases :   p50; Bp50; CDW40; TNFRSF5    

Entrez GeneID:    958    

Swissprot:    P25942    

WB Predicted band size :   30.6kDa    

Host/Isotype :   Mouse IgG1    

Species Reactivity :   Human,Mouse    

Immunogen:    Purified recombinant fragment of human CD40 (AA: extra(21-193)) expressed in E. Coli.    

Operation

WB    1/500 - 1/2000    

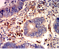
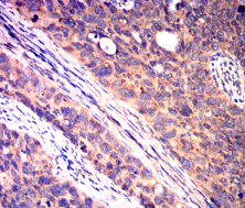
IHC    1/200-1/1000    

FCM    1/200-1/400    

ELISA    1/10000    

References