CD38 Mouse Monoclonal antibody[6E12D]

AccuSift
T10; CD38
SKU Name Unit Price Delivery QTY
AC1729 CD38 Mouse Monoclonal antibody[6E12D] 100ug $367 10days
AC1729 CD38 Mouse Monoclonal antibody[6E12D] 200ug $660.6 10days

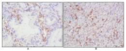
CD38 is a type II integral membrane glycoprotein which is present on early B and T cell lineages and activated B and T cells but is absent from most mature resting peripheral lymphocytes. CD38 is also found on thymocytes, pre-B cells, germinal center B cells, mitogen-activated T cells, monocytes and Ig-secreting plasma cells. CD38 acts as a NAD glycohydrolase in T lym- phocytes. On hematopoietic cells CD38 induces activation, proliferation, and differentiation of mature T and B cells and mediates apoptosis of myeloid and lymphoid progenitor cells. In addition to acting as a signaling receptor, CD38 is also an enzyme capable of producing several calcium-mobilizing metabo- lites, including cyclic adenosine diphosphate ribose (cADPR). CD38 also plays a role in maintaining survival of an invariant NK T (iNKT) cell subset that preferentially contributes to the maintenance of immunological tolerance.



Aliases:    T10; CD38    

Entrez GeneID :   952    

Swissprot:   P28907    

WB Predicted band size:    34kDa    

Host/Isotype :   Mouse IgG1    

Species Reactivity :   Human    

Immunogen :   Purified recombinant fragment of human CD38 expressed in E. Coli.    

Operation

IHC    1/200 - 1/1000    

ELISA    1/10000    

References