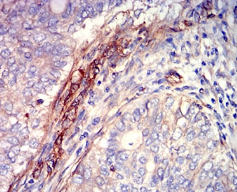
CD363 Mouse Monoclonal antibody[8E4H5]

AccuSift
S1PR1; EDG1; S1P1; ECGF1; EDG-1; CHEDG1; D1S3362
SKU Name Unit Price Delivery QTY
AC1718 CD363 Mouse Monoclonal antibody[8E4H5] 100ug $367 10days
AC1718 CD363 Mouse Monoclonal antibody[8E4H5] 200ug $660.6 10days

The protein encoded by this gene is structurally similar to G protein-coupled receptors and is highly expressed in endothelial cells. It binds the ligand sphingosine-1-phosphate with high affinity and high specificity, and suggested to be involved in the processes that regulate the differentiation of endothelial cells. Activation of this receptor induces cell-cell adhesion. Alternative splicing results in multiple transcript variants.



Aliases:    S1PR1; EDG1; S1P1; ECGF1; EDG-1; CHEDG1; D1S3362    

Entrez GeneID :   1901    

Swissprot :   P21453    

WB Predicted band size :   42.8kDa    

Host/Isotype:    Mouse IgG2a    

Species Reactivity :   Human    

Immunogen :   Purified recombinant fragment of human CD363 expressed in E. Coli.    

Operation

WB    1/500 - 1/2000    

IHC    1/200 - 1/1000    

FCM    1/200 - 1/400    

ELISA    1/10000    

References