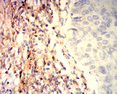
CD328 Mouse Monoclonal antibody[6G8B10]

AccuSift
p75; QA79; AIRM1; CD328; AIRM-1; CDw328; D-siglec; SIGLEC-7; SIGLECP2; SIGLEC19P; p75/AIRM1
SKU Name Unit Price Delivery QTY
AC1679 CD328 Mouse Monoclonal antibody[6G8B10] 100ug $367 10days
AC1679 CD328 Mouse Monoclonal antibody[6G8B10] 200ug $660.6 10days

SIGLEC7 (Sialic Acid Binding Ig Like Lectin 7) is a Protein Coding gene. Diseases associated with SIGLEC7 include Congenital Disorder Of Glycosylation, Type Iic. Among its related pathways are Hematopoietic Stem Cells and Lineage-specific Markers and Innate Immune System. Gene Ontology (GO) annotations related to this gene include carbohydrate binding. An important paralog of this gene is SIGLEC12.



Aliases:    p75; QA79; AIRM1; CD328; AIRM-1; CDw328; D-siglec; SIGLEC-7; SIGLECP2; SIGLEC19P; p75/AIRM1    

Entrez GeneID:    27036    

Swissprot:    Q9Y286    

WB Predicted band size:    51.1kDa    

Host/Isotype:    Mouse IgG1      

Species Reactivity:    Human    

Immunogen:    Purified recombinant fragment of human CD328 (AA: extra(19-142)) expressed in E. Coli.    

Operation

IHC    1/200-1/1000    

FCM    1/200-1/400    

ELISA    1/10000    

References